Наш лікар-анестезіолог Віталій Павленко нагороджений медаллю
Наш лікар-анестезіолог Віталій Ігорович Павленко, який з першого дня війни…
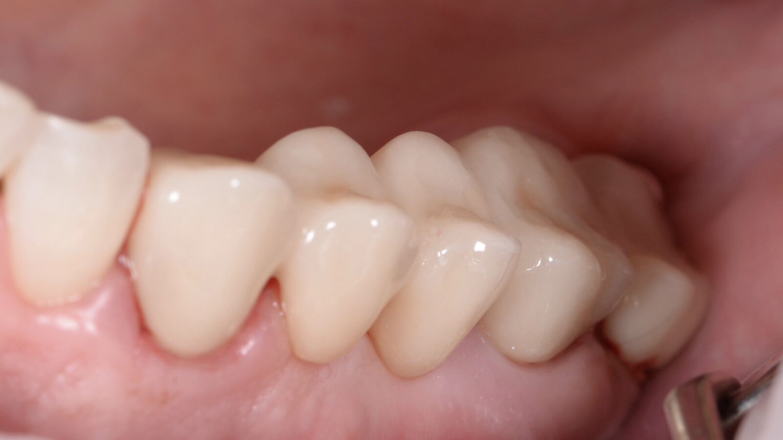
У нашій клініці при протезуванні зубів фахівці використовують два види конструкцій: знімні та незнімні (постійні), які ми підбираємо для своїх пацієнтів виходячи з широкого спектру сучасних стоматологічних технологій (наприклад, СAD/CAM та інші). Однак, провідним критерієм вибору протезної конструкції у нас у клініці є не тільки застосування новітніх технологій у лікуванні, але й індивідуальний підхід, естетичність і зручність використання протеза.
Сьогодні в усьому світі протезування на імплантатах визнано найперспективнішим методом, який дозволяє повернути втрачені з різних причин зуби. Причому і в молодому віці, і в літньому. Зубне протезування на імплантатах дозволяє використовувати весь спектр ортопедичних конструкцій, як умовно знімних, так і незнімних. Причому, останні можуть застосовуватися як при частковій втраті зубів, так і коли зуби взагалі відсутні. Протезування на імплантатах – прогресивна галузь стоматології, яка дозволяє ввести в кісткову тканину щелепи особливі корені – імпланти, та на них встановити зубні протези, термін служби яких нерідко доходить до 15 років! До того ж, здорові зуби при цій маніпуляції ніяк не страждають, та й сама процедура проходить практично безболісно (приблизно, як при видаленні зуба під наркозом). Окрім цього, якісно виконані протези на імплантатах ніхто не відрізнить від справжніх зубів! Ви можете потавити зубні імплантати в нашій клініці в Києві, ми гарантуємо їх якість! Для цього в роботі ми використовуємо інноваційне обладнання та матеріали, а також залучаємо лікарів і зубних техніків, які спільно визначають колір зуба, оцінюють ситуацію в порожнині рота пацієнта, враховують форму обличчя, колір губ, очей. Усе це дозволяє не тільки якісно виконати роботу, а й скоротити кількість візитів у Клініку, заощадивши ваш час і гроші. Такий підхід забезпечує оптимальний результат, який виражається в тому, що після того, як вам поставлять зубні імплантати (в Києві в «Клініці Дубнової “Стоматолог і я”), новий зуб не завдасть Вам ніяких проблем зі звиканням. Так само новий зуб буде надійно фіксуватися в ротовій порожнині, що дозволить вам широко посміхатися, та й атрофія щелепи з таким імплантом не загрожує, оскільки під час жування відбуватиметься природний розподіл навантаження на всі зуби. Ну а в подальшому ваш новий корінь-імплант стане надійною опорою для коронки або «моста». Однак, щоб це сталося, потрібно правильно вибрати вид стоматологічного імплантанта. Після аналізу комп’ютерної томографії лікар підбере імплант, який максимально підійде саме Вашій кістці. Довіртеся професіоналу!
Для незнімного протезування зубів нерідко використовують покриття зуба коронкою. Питання про встановлення коронки стає актуальним, якщо, наприклад, коронкова частина зуба зруйнована на 70-80%. У вас дуже схожа проблема? Не хвилюйтеся! Такий метод уже давно успішно застосовується в медицині й має низку переваг: правильно поставлена коронка дає “друге” життя зруйнованому зубу, окрім цього, повертає йому “молодість” – колишню форму та повноцінні функції. Тож сміливо «коронуйте» свої зуби! В ідеалі після встановлення коронки і вона, і імплантат, і ясна створюють гармонійну структуру, і ви не відчуваєте ніякого дискомфорту ні при накусуванні, ні при жуванні. Коронка надійно фіксується, займаючи своє місце в ротовій порожнині. Вибір коронок на зуби сьогодні досить великий: пластмасові, композитні, металеві, металокерамічні, безметалові на основі діоксиду цирконію або керамічні. До речі, про останні. Керамічні коронки на зуби (металокерамічні або безметалові), встановлені на імплантати, практично не відрізнятимуться від інших ваших зубів, що дуже важливо для естетичного сприйняття. Вибрали інші? Вони теж мають низку переваг, одна з яких у тому, що, коли виникне необхідність у заміні коронок, змінюватися будуть тільки вони, а імплантати залишаться ті ж самі, що дозволить провести процедуру заміни в найкоротші терміни. Проте краще не вибирати коронку на свій розсуд, адже у кожного виду є свої показання та протипоказання. Так що визначати, яка коронка на зуби підійде саме Вам, бажано разом із фахівцем. Після професійної консультації й огляду ротової порожнини у лікаря ви твердо вирішили прямо завтра поставити коронки на зуби в Києві? Не варто квапити події! Після установки імплантату має пройти час – не менше 3 місяців – до установки зубних коронок, тому у вас буде можливість підготуватися до того, що скоро ваше обличчя знову прикрасить посмішка на всі зуби. Тим більше, що вартість коронок на зуби в Києві в «Клініці Дубнової «Стоматолог і я» відносно невисока. А індивідуальний підхід до кожного пацієнта дозволяє вибрати найбільш оптимальний метод протезування з точки зору як технічних, так і естетичних потреб, а також виходячи з ваших фінансових можливостей.
Знижений імунітет, погана гігієна порожнини рота, постійні стреси та й багато інших чинників призводять до появи карієсу на зубах. Якщо з ним не боротися, зуб почне руйнуватися і виникне шанс його втратити. Не хвилюйтеся, це не трагедія, адже в арсеналі сучасної стоматології є достатньо способів для того, щоб такі зуби відновлювати. Наприклад, незнімними конструкціями. Такими є коронки, вініри, вкладки та мостовидні протези, які використовуються для заміщення втрачених зубів. До речі, історія використання мостовидних протезів сягає корінням історії стародавнього Риму. Мостовидні протези повністю відновлюють жувальну функцію, при цьому майже не порушують смакову та температурну, а також відчуття дотику, що дуже важливо для якості життя пацієнтів. Крім того, за розмірами і зовнішнім виглядом мостовидні протези повністю відповідають зубам, подарованим природою. Звідси випливає, що звикання до них відбувається практично відразу, як тільки мостовидний протез встановлюють (у Києві це можна зробити в нашій клініці). Однак і тут є нюанси, адже мостовидні протези залежно від матеріалу, способу виготовлення й установки діляться на кілька типів і підбирати їх потрібно тільки з фахівцем. Мостовидні конструкції з металу найдорожчі, але неестетичні. Вони важкуваті й можуть стати причиною алергії та неприємного присмаку в роті. Тому їх застосовують рідко. Мостовидні протези з металокераміки досить міцні. Керамічна частина повторює природний відтінок емалі зубів, але такі зуби мають сірий відтінок, оскільки всередині такого зуба металевий каркас. Щоб уникнути такої проблеми, можна виготовити протези зі сплаву білого кольору – діоксиду цирконію. Мостовидні протези з цільної кераміки не передбачають каркас із металу. Вони такого ж відтінку, що і зуби. Залежно від способу виготовлення мостовидні протези теж бувають різними: суцільнолиті – найсучасніші і штамповані – менш прогресивні (відходять у минуле, бо за міцністю поступаються суцільнолитим). Установкою мостовидних протезів у Києві займається багато фахівців, але в «Клініці Дубнової “Стоматолог і я” працюють кращі! Приходьте і переконайтеся самі!
Немає можливості встановити імплантанти? З метою економії коштів або з інших міркувань віддаєте перевагу знімним зубним протезам? Поряд із іншими послугами ми встановлюємо і знімні протези (в Києві в нашій клініці). Цей вид протезування частіше застосовується, коли протипоказано відновлення втрачених зубів за допомогою сучасних незнімних протезів. Наприклад, якщо повністю відсутні зуби або коли потрібно відновити велику ділянку зубного ряду. Однак тут усе вирішується в індивідуальному порядку. Знімні зубні протези ставлять пацієнтам навіть якщо у них зберігся один або кілька зубів (частково знімний протез) і на всю щелепу (повний знімний протез). Більш сучасний спосіб виготовлення знімного зубного протезу – бюгельний протез. Приймати рішення про конструкцію, яка потрібна саме вам (знімного зубного протеза) необхідно в тандемі з компетентним лікарем. Як, втім, і питання про те, яким саме знімним протезам віддати перевагу. Частково знімний зубний протез використовують, якщо на щелепі є хоча б два своїх зуба. Але навіть у цьому випадку фахівець повинен вибрати відповідний для вас вид частково знімного протеза. Не переживайте, наш лікар вам усе пояснить і розповість докладно про всі плюси та мінуси обраної конструкції. Наприклад, про те, що частково знімний протез цілком виготовляється з пластмаси, окрім особливих гачків (якими він кріпиться до здорових зубів). Завдяки цьому частково знімний зубний протез порівняно легкий і, що буває актуально пацінтам, доступний за ціною. На верхній щелепі у вас не залишилося жодного зуба? Не хвилюйтеся! Тут тверде нерухоме піднебіння, хороша клапанна зона, досить велика площа опори, а значить знімний зубний протез на верхню щелепу (верхній знімний зубний протез) «сяде» як треба! А ось якщо подібна проблема сталася з нижньою щелепою – тут ситуація гірша. Площа опори тут зовсім невелика через складки слизової оболонки, рухомий язик. Усе це ускладнює установку знімного протезу на нижню щелепу. Однак і з таким завданням наші фахівці справляються. Який би знімний зубний протез ви не встановили, за ним потрібно доглядати, оскільки, прилягаючи до щелепи, він створює зони, які погано омиваються і очищаються. Так що стежте за цим! А наші фахівці підкажуть, допоможуть і навчать, як правильно це робити.
3D сканування – новий технологічний етап у стоматології, який підвищує якість лікування, комфорт пацієнта і передбачуваність клінічного результату.
3D сканер необхідний для отримання в режимі реального часу цифрового відбитку одного зуба або всієї ротової порожнини, а також фотографій м’яких тканин. Сканер направляє світлові промені на зуби, а потім зчитує їх зображення і передає інформацію на комп’ютер. За допомогою спеціальних технологій створюється тривимірна модель щелепи. Використання сканера дозволяє оглянути навіть важкодоступні ділянки порожнини рота.
3D сканер застосовується в ортопедії замість класичного зняття відбитків щелеп. Дозволяє виготовляти протезні конструкції з точністю до сотих часток міліметра: мости, коронки, вініри, вкладки.
Які ж переваги 3D сканування для пацієнтів?
🔹Комфорт: Виготовлення відбитка за допомогою ложки та силікону – не найприємніша процедура. 3D сканер дозволяє швидко і комфортно (без неприємних відчуттів) зняти цифровий відбиток.
🔹Точність: внутрішньоротове 3D сканування дозволяє отримати максимальну точний цифровий відбиток без похибок.
🔹Швидкість: Раніше пацієнтам доводилося чекати, поки зубний технік виготовить протез. Завдяки внутрішньоротовому 3D скануванню весь процес займе кілька днів.
🔹Висока інформативність: 3D модель щелепи дозволяє визначити всі особливості щелепно-лицьової системи і підібрати оптимальну методику лікування у кожному клінічному випадку.
В нашій клініці використовується внутрішньоротовий сканер 3D Shape. Його виробник – данська компанія – була одним з піонерів в області тривимірного сканування.
Внутрішньоротовий сканер – це відмінний сучасний девайс, який полегшує роботу лікаря і створює комфорт для пацієнта. У нашій клініці ми регулярно оновлюємо обладнання і впроваджуємо цифрові технології в повсякденну практику
Наш лікар-анестезіолог Віталій Ігорович Павленко, який з першого дня війни…
Вітаємо з Міжнародним днем Стоматолога лікарів та асистентів, зубних техніків…
Вся команда нашої дитячої клініки пройшла тренінг «Надання невідкладної допомоги…
Наші дитячі лікарі пройшли навчальний курс «Моделювання бічної групи зубів”,…
Знайомтесь – Аліна Сергіївна Ювшин, наш дитячий стоматолог у клініці на…
Вітаємо з Різдвом та Новим роком наших друзів, пацієнтів, співробітників…
Стоматолог-ортопед
Стоматолог-ортопед
Стоматолог-ортопед
Стоматолог-ортопед
Стоматолог-ортопед
Стоматолог-ортопед
Стоматолог-ортопед
Найкраща стоматологічна клініка. А я їх обійшов багато. Бо маю дуже складну ситуацію. Тож можу сміливо радити всім.
Дуже вдячна лікарю Богдану Станіславовичу за уважність до потреб пацієнта та високий професіоналізм. Я рада, що знайшла тут свого лікаря, і завжди знаю, що тут допоможуть навіть у складних або нетипових ситуаціях. Зараз лікували 8-й зуб,…
Чудова Клініка, неймовірний персонал, лікарі від Бога, справжні майстри своєї справи! Лікував та відновлював зуб, а також зробив чистку зубів. Ви навіть не уявляєте на скільки я став щасливіший та маю змогу щиро посміхатися,))) Залишились дуже-дуже…
15 лет являюсь клиентом, уже с семьёй. Приходят на помощь. Подкупают профессионализмом. Втираются в доверие. Назначают только то лечение, которое действительно необходимо. Ужасные люди!!!
I had an excellent experience at this dentist’s office. The level of professionalism, cleanliness, and patient care was very impressive. What stood out the most was the dentist’s honesty. I came in thinking I needed a…
Якщо Ви, як і я, боїтеся всіх зубних лікарів, то після цього лікаря Ви перестанете тремтіти! Вячеслав Дмитрович Вєдєнєєв – професіонал, з почуттям гумору, впевнена та тверда рука! Одне слово в голові після складного лікування -…
Щиро дякую лікарю Тюріну Івану Сергійовичу за свої здорові зубки і впевнену посмішку! Лікуюсь у нього вже кілька років – колосальна кількість роботи була зроблена, результатом надзвичайно задоволена! Лікар великий профі, приємний у спілкуванні і дуже…
I can’t express how much I miss this clinic and service while living in the US during the past 3+ years. When I have a chance, I’ll definitely fly in here for some dental work. Been…