Видалення зубів

Видалення зубів (у тому числі видалення зуба мудрості) є найпоширенішою операцією у практиці хірурга-стоматолога. Рішення про необхідність видалення того чи іншого зуба (у тому числі видалення кореня зуба) приймається стоматологом на підставі чітких показань і протипоказань до видалення.

Показання до видалення зубів

Розглянемо основні показання до видалення зубів, які можна умовно поділити на кілька груп:

Травма зуба:

  • поздовжній перелом зуба/кореня;
  • перелом коронкової частини без можливості подальшого відновлення;

Перелом коронкової частини зуба без можливості подальшого відновлення

За призначенням лікаря-стоматолога або за терапевтичними показаннями, через неможливість консервативного стоматологічного лікування, що зумовлені:

  • значним руйнуванням коронкової частини зуба без можливості використовувати його коронку або корінь для протезування;
  • обтюрацією кореневого каналу зламаним ендодонтичним інструментом (неякісне лікування каналу зуба) за неможливості його видалення;
  • особливостями анатомічного характеру (непрохідність або викривлення кореневих зубних каналів);
  • помилками стоматологічного лікування, що спричинили перфорацію кореня або порожнини зуба, якщо ці порушення не можна усунути.

Недостатність залишкових тканин зуба є показанням до його видалення. На фото зуб до та після видалення старої пломби

Запалення кореня зуба – привід для його видалення

Ортодонтичні показання, серед яких:

  • дистоповані зуби або зуби, що неправильно розташовані в зубному ряді, зміщують сусідні зуби, травмують слизову оболонку і не підлягають ортодонтичному лікуванню;
  • ретиновані зуби або зуби, що не прорізалися, які травмують слизову оболонку. Вони повністю чи частково закриті кісткою або тканиною ясен, причому можуть розташовуватися в самій товщі кістки чи прикриватися лише слизовою оболонкою. Ретинованими частіше бувають зуби мудрості. Сьогодні видалення ретинованого зуба – одна з найчастіших хірургічних операцій у стоматології.

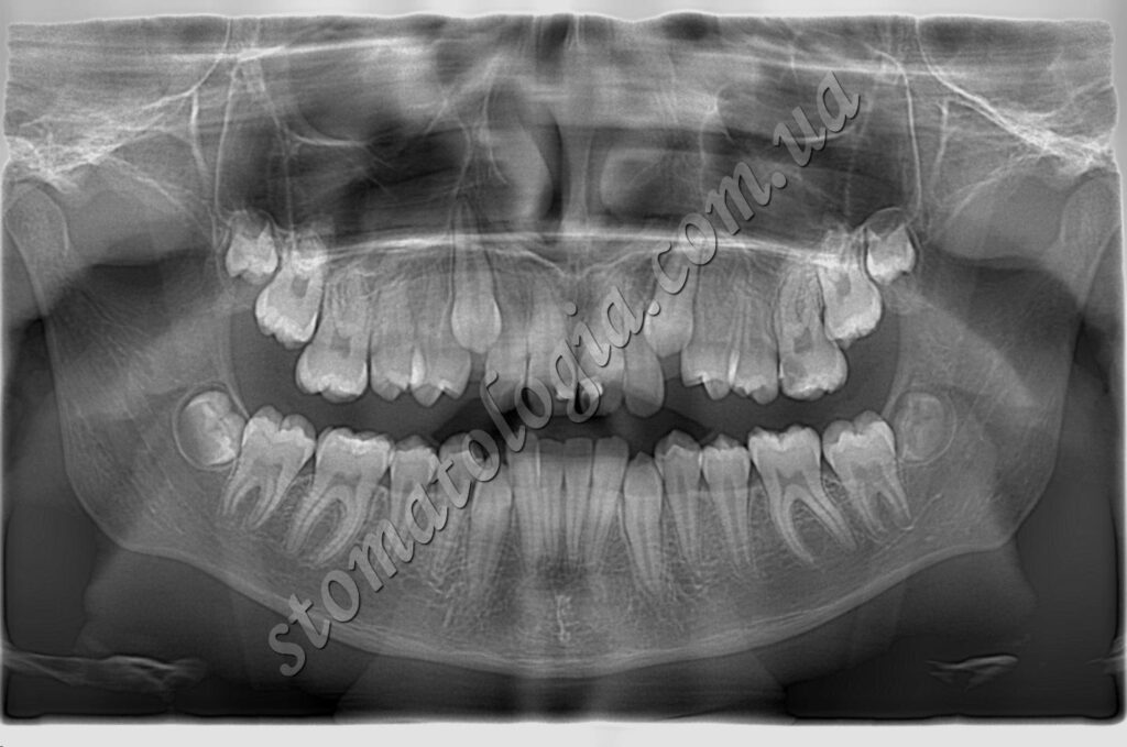
Ретиновані зуби: усі зуби мудрості (4 зуба) та ікла верхньої щелепи. Ретиновані й дистоповані зуби часто не можна побачити під час візуального огляду, але їх добре видно на КТ і рентгені

Ретиновані зуби, що травмують, не лише слизову щоки, але й сусідні (сьомі) зуби.

Ретинований зуб мудрості зліва травмує сусідній зуб. Показано видалення зубів мудрості

Надкомплектні зуби (гіпердонтія) – збільшена кількість зубів – за ортодонтичними й косметичними показаннями;

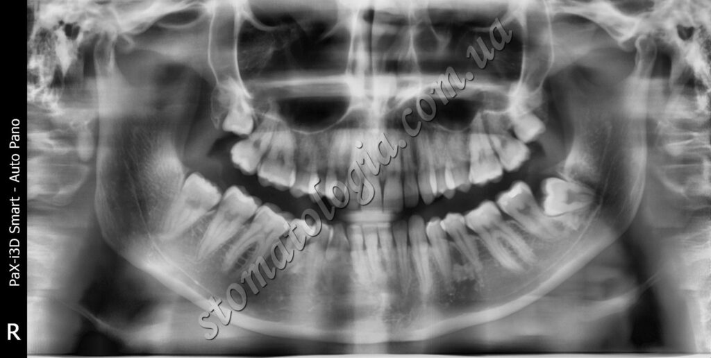
Надкомплектні ретиновані зуби мудрості

Ретиновані й дистоповані зуби, що спричиняють розвиток кіст і запалення в навколишніх тканинах, якщо ці явища неможливо усунути в інший спосіб;

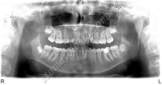
Ретиноване ікло верхньої щелепи спричинило запалення. Ретиновані також усі зуби мудрості

Видалення дистопованих зубів мудрості, що спричиняють патологічні процеси в навколишніх тканинах (утруднене прорізування зубів).

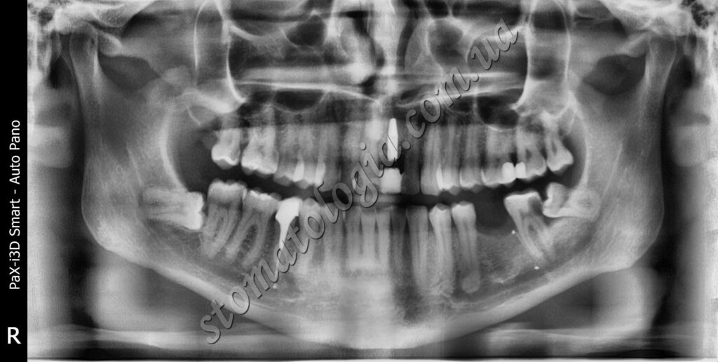
Лежачий зуб мудрості (на знімку праворуч) пошкодив сусідній зуб. Показано видалення зубів мудрості та лікування пошкодженого 7-го зуба

Пародонтологічні показання, такі як значна рухливість зуба, висування зуба з альвеоли з одночасним оголенням коренів, особливо коли такий зуб заважає жувати, травмує навколишні м’які тканини або перешкоджає протезуванню.

Видалення імплантата зуба

Кілька слів про видалення імплантату зуба. На щастя, у повсякденній практиці більшості лікарів-стоматологів ця процедура трапляється доволі рідко і вдаються до неї лише в крайньому разі.

Зубні імплантати, що підлягають видаленню через появу в них тріщин

Усім відомо, що зубний імплантат захищений від карієсу та корозії, бо зроблений із комерційно чистого титану. Проте за деяких обставин зберегти зубний імплантат неможливо, і його доводиться видаляти. До таких обставин належать:

  • механічні пошкодження – переломи самого імплантату або одного з компонентів конструкції, за яких подальша експлуатація зубного імплантату неможлива;
  • рухливість зубного імплантату внаслідок повної дезінтеграції, запального процесу, травми тощо;
  • застарілі типи зубних імплантатів що можуть видалятися за ортопедичними й естетичними показаннями.

Перелом зубного імплантату

Якщо ж зубний імплантат встановлений підготовленим фахівцем із дотриманням усіх етапів імплантації та з використанням якісного матеріалу (тобто робота імплантолога виконана на високому професійному рівні), а пацієнт дотримується всіх правил гігієни та догляду за зубним імплантатом, то з великою імовірністю цих неприємних наслідків можна уникнути. Це лише деякі з показань до видалення зуба. У будь-якому разі рішення про необхідність видалення лікар-стоматолог приймає з урахуванням індивідуальної клінічної ситуації. Здебільшого, видалення зубів (у тому числі видалення зуба мудрості, видалення корінного зуба) здійснюється стоматологом під місцевою анестезією (зі знеболенням), що дає можливість провести видалення зуба без болю, але не позбавляє пацієнта тактильних відчуттів (відчуття дотику, тиску, вібрації інструментів тощо). За надмірного страху, очікуваного складного видалення та тривалого втручання, неможливості тримати рот відкритим, маленького віку чи просто небажання пацієнта відчувати всі моменти операції можна проводити видалення зубів під загальним наркозом.

Скільки зубів, на вашу думку, потрібно видалити?

Скільки часу триває видалення зуба?

«Скільки часу триває видалення зуба?» – питання, яке задають усі пацієнти, яким мають видалити зуб. Зазвичай для нескладного видалення зуба потрібно від 20 до 45 хвилин. Залежно від специфіки клінічної ситуації ці показники можуть варіюватися. Іноді потрібно більше часу. Одразу після видалення зуба розпочинається післяопераційний період, під час якого організм відновлює пошкоджені тканини і зосереджує захисні функції на ділянці втручання. У зв’язку із цим уже за кілька годин після втручання можуть з’явитися:

  • дискомфорт,
  • хворобливі відчуття в ділянці втручання і прилеглих м’яких тканинах,
  • невелика кровоточивість із лунки зуба, підвищення температури. Усі ці симптоми є нормальним явищем після стоматологічної операції, і в кожного окремого пацієнта мають різну ступінь вираженості, що залежить від тривалості, складності втручання й індивідуальних особливостей організму.

У середньому всі згадані неприємні симптоми спостерігаються протягом трьох – семи днів, але в деяких випадках больові відчуття можуть тривати до двох тижнів, залежно від специфіки проведеної стоматологічної операції та відповідної реакції організму. Якщо загоєння відбувається без відхилень, то вже за два тижні після видалення зуба в лунці з’являється молода грануляційна (судинна) тканина. За чотири тижні після видалення зуба грануляційна тканина замінюється остеоїдною (молода кісткова тканина, яка з часом буде мінералізуватися, перетворюючись на зрілу кісткову тканину). Луночка зовні епітелізується (закривається), і слідів від видалення практично не лишається. По закінченні цього періоду можна переходити до відновлення втраченого зуба (в разі необхідності) із застосуванням одного з ортопедичних методів лікування  – протезування зубів.

Видалення зуба мудрості

На окрему увагу заслуговує видалення третіх молярів, або так званих “зубів мудрості“. На жаль, більшість людей тією чи іншою мірою зазнають проблем із цими зубами. Чому ж це відбувається? Спробуємо з’ясувати. У зв’язку зі зміною раціону харчування – скороченням споживання твердої і жорсткої їжі, – розміри зубощелепної системи більшості людей поступово зменшуються. Оскільки восьмі зуби, або зуби мудрості, закладаються, формуються та прорізуються в останню чергу, як правило, повноцінного місця в зубному ряду для них не залишається. Отже, можуть виникнути такі стани:

  • дистопія – неправильне положення зуба мудрості;
  • ретенція або полуретенція – повна відсутність або часткове прорізування зуба мудрості у зв’язку з наявністю механічної перешкоди. Надалі такі стани можуть призвести до низки ускладнень, а саме до:
  • гнійного запалення в кишені («капюшоні»), що утворилася між яснами і зубом мудрості, – перикороніту;
  • карієсу самого восьмого (зуба мудрості) або сусіднього зуба через неможливість адекватної гігієни цієї ділянки;
  • хронічної травми слизової оболонки щоки у зв’язку з неправильним (так званим щічним) положенням третього моляра;
  • порушення положення фронтальної групи зубів у зв’язку з надмірним тиском з боку ретинованого зуба.

Через те, що такі зуби мають неправильне положення, специфіка видалення, тривалість операції з їх видалення і сам післяопераційний період можуть відрізнятися від традиційного видалення.

Дистоповані та ретиновані зуби мудрості підлягають видаленню

Чим звичайне видалення зубів відрізняється від складного?

Уявімо клінічну ситуацію, за якої зуб мудрості ще не прорізався, перебуває глибоко в товщі кістки і частково впирається в сусідній зуб. У цьому разі застосовується техніка атипового видалення. Тобто крім самого видалення зуба мудрості лікарю-хірургу необхідно додатково розрізати слизову оболонку рота в ділянці втручання, щоб забезпечити доступ до такого зуба, за потреби прибрати кісткову тканину, що вкриває коронку зуба, розділити зуб на кілька частин (секціонувати) з використанням фрез і видалити кожен фрагмент зуба окремо. Після видалення здійснюють ревізію лунки, кюретаж (видалення всіх запалених і нежиттєздатних тканин), а в лунці залишають ліки, що сприяють її загоєнню і запобігають розвитку запалення й кровотечі. Лунку ушивають для прискорення процесу епітелізації. Звучить лячно, але насправді за відчуттями цей процес мало відрізняється від звичайного видалення, крім збільшеної тривалості самої маніпуляції. Крім зубів мудрості до атипового (складного) видалення часто вдаються і при видаленні інших зубів, адже таке видалення більш прогнозоване, менш травматичне та створює сприятливі умови для загоєння лунки і збереження кісткової тканини. А остання у стоматолога завжди на вагу золота, бо дуже важлива для подальшого планування імплантації!

Статті по темі:

Наші лікарі

Відгуки