Наш лікар-анестезіолог Віталій Павленко нагороджений медаллю
Наш лікар-анестезіолог Віталій Ігорович Павленко, який з першого дня війни…
„Клініка Дубнової „Стоматолог і я” проводить терапію всіх видів цього захворювання:
Лікуванням карієсу в стоматології займаються давно. В нашій Клініці ще й дуже успішно! Причому як у дорослих, так і у дітей.
Як проходить терапія? Все залежить від стадії захворювання. У своїй роботі ми вдаємося до методу ремінералізації, обробляємо каріозну порожнину спеціальними розчинами, пломбуємо „дірку” найсучаснішими матеріалами з лікувальними прокладками та без них. При цьому наші спеціалісти завжди намагаються зберегти навіть молочні дитячі зубки. Тому, крім пломбування, в лікуванні карієсу зубів у дітей застосовуємо ще й фторування – метод, що допомагає зберегти зуби, над якими вже „попрацював” карієс. Щоб відстрочити або уникнути видалення молочних зубів із глибоким карієсом, ми використовуємо тимчасові пломби з лікувальним просоченням, що допомагає очистити кореневий канал. Із тією ж метою стоматолог може порадити провести 5-7-річній дитині герметизацію фісур – жувальних поверхонь задніх зубів, які складаються з борозенок і канавок та погано очищуються. Для попередження карієсу цю зону заповнюють спеціальним стоматологічним герметиком, який попереджує появу проблем. При лікуванні карієсу у дітей спеціалісти нашої Клініки використовують особливий підхід, адже багато малюків страхаються походів до стоматолога. Щоб похід до лікаря не став стресом для вашої дитини, рекомендуємо завчасно поговорити з нею про майбутній захід і… привести її до нашої Клініки. Тут під час виконання всіх процедур лікар буде спілкуватися з малюком, коментувати свої дії, таким чином заспокоюючи малюка. Якщо є змога, також при лікуванні карієсу зубів у дітей ми застосовуємо приємні на смак пасти, використовуємо м’які методи терапії (наприклад, якщо малюк боїться бормашини, проводимо очищення каріозної порожнини спеціальними інструментами вручну). У дитини високий больовий поріг? Наші лікарі запропонують вам провести процедуру з використанням безпечних знеболюючих. Однак, крім лікування карієсу, в нашій Клініці гарантовано навчать Вас та Вашого малюка ще й правилам гігієни порожнини рота, розкажуть, як відкоригувати харчування та, за необхідності, проведуть професійне чищення зубів, використовуючи найновіше обладнання. Все на благо наших Клієнтів!
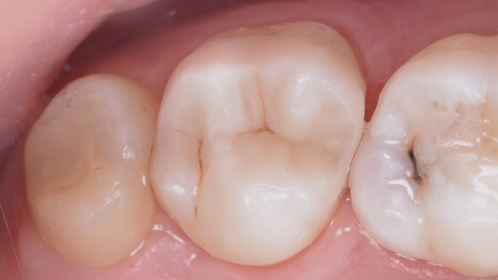
Щоб заповнити порожнину, яка з різних причин утворилася в зубі, у стоматології використовують метод пломбування зубів (в Києві цю процедуру проводять в нашій Клініці). На сьогоднішній день запломбувати зуб можна за допомогою різних матеріалів:
Також у „Клініці Дубнової „Стоматолог і я”, за необхідності, наші спеціалісти встановлять тимчасову пломбу (не довше, ніж на місяць) або постійну. Серед постійних на сьогодні найбільш популярні фотополімерні пломби. Вони встановлюються пошарово та тверднуть лише після контакту з ультрафіолетовою лампою, що говорить про їх міцність, а також дозволяє в подальшому провести адгезивну часткову корекцію пломби без повної її заміни, наприклад, у випадку розшарування або сколювання. За допомогою фотополімерних пломб можна повною мірою провести відновлення зруйнованого зуба, а крім цього, змінити його довжину, форму, колір, якщо в цьому є потреба. Але інколи для того щоб якісно встановити фотополімерну пломбу, доводиться вдаватися до процедури лікування та пломбування кореневих каналів, у результаті чого вони очищуються та заповнюються спеціальним матеріалом. Пломбування кореневих каналів має низку труднощів, оскільки у одних зубів по 1 каналу (різці), у інших – по декілька (премоляри), а у ще інших – до 4-х каналів (моляри, жувальні зуби). Та всіх їх треба знайти, очистити, запломбувати. Крім цього, самі канали різняються між собою за довжиною, яку під час процедури необхідно правильно виміряти, оскільки якщо канал запломбувати не повністю, пізніше можуть початися серйозні проблеми (біль, запальний процес, періодонтит, що нерідко призводить до втрати зуба). А якщо врахувати, що канали не прямі, а зігнуті, закручені, завдання явно ускладнюється, чи не так? Спеціалісти, які працюють в „Клініці Дубнової „Стоматолог і я”, впораються з цим на найвищому рівні! Вони відповідально ставляться до своєї роботи та не допускають помилок ані в пломбуванні зубів (у Києві), ані в пломбуванні каналів. Приходьте та переконайтеся самі!
Наш лікар-анестезіолог Віталій Ігорович Павленко, який з першого дня війни…
Вітаємо з Міжнародним днем Стоматолога лікарів та асистентів, зубних техніків…
Вся команда нашої дитячої клініки пройшла тренінг «Надання невідкладної допомоги…
Наші дитячі лікарі пройшли навчальний курс «Моделювання бічної групи зубів”,…
Знайомтесь – Аліна Сергіївна Ювшин, наш дитячий стоматолог у клініці на…
Вітаємо з Різдвом та Новим роком наших друзів, пацієнтів, співробітників…
Найкраща стоматологічна клініка. А я їх обійшов багато. Бо маю дуже складну ситуацію. Тож можу сміливо радити всім.
Зверталась до хірурга Труша Сергія Анатолійовича з питанням продовження установки зубного імпланта (розпочала процес в іншій клініці, однак вирішила продовжити вже в клініці ‘Стоматолог і Я’). Щиро дякую лікарю і…
Хочу висловити вдячність Дубнову Артему Васильовичу та його команді за проведення мені операції на щелепах та реабілітацію! Артем Васильович дійсно горить бажанням допомагати людям, і тому я зі спокійною душею…
Звернувся до цієї клініки за рекомендацією свого стоматолога, щоби видалити зуб, який вже не можливо було відновити. Величезна вдячність лікарю-хірургу Сергію Трушу за швидку, акуратну й безболісну процедуру! Також дуже…
Доктор Труш Сергій – високий професіонал, доктор з великої літери. Низький уклін Лесі Юріївні за виховання молодих кадрів та дух чутності й людяності, притаманний усьому колективу клініки
Чудеса в мире есть и волшебники в нем встречаются! Всем добра! Благодаря Артему Васильевичу и прекрасному чуткому персоналу я верю в сказку! Спасибо
Труш Сергій Анатолійович – чудовий спеціаліст, який з великою чуйністю, повагою та розуміння ставиться до пацієнта! Як колега викликає велику повагу! Знімаєте шви як Бог!
Велике дякую Руслану Віталійовичу та його чарівній помічниці! Прийшлось терміново видаляти 3 зуби, але лікар зробив все безболісно, швидко і напрочуд впевнено. І ця впевненість передалась і мені. А те,…