Наш лікар-анестезіолог Віталій Павленко нагороджений медаллю
Наш лікар-анестезіолог Віталій Ігорович Павленко, який з першого дня війни…
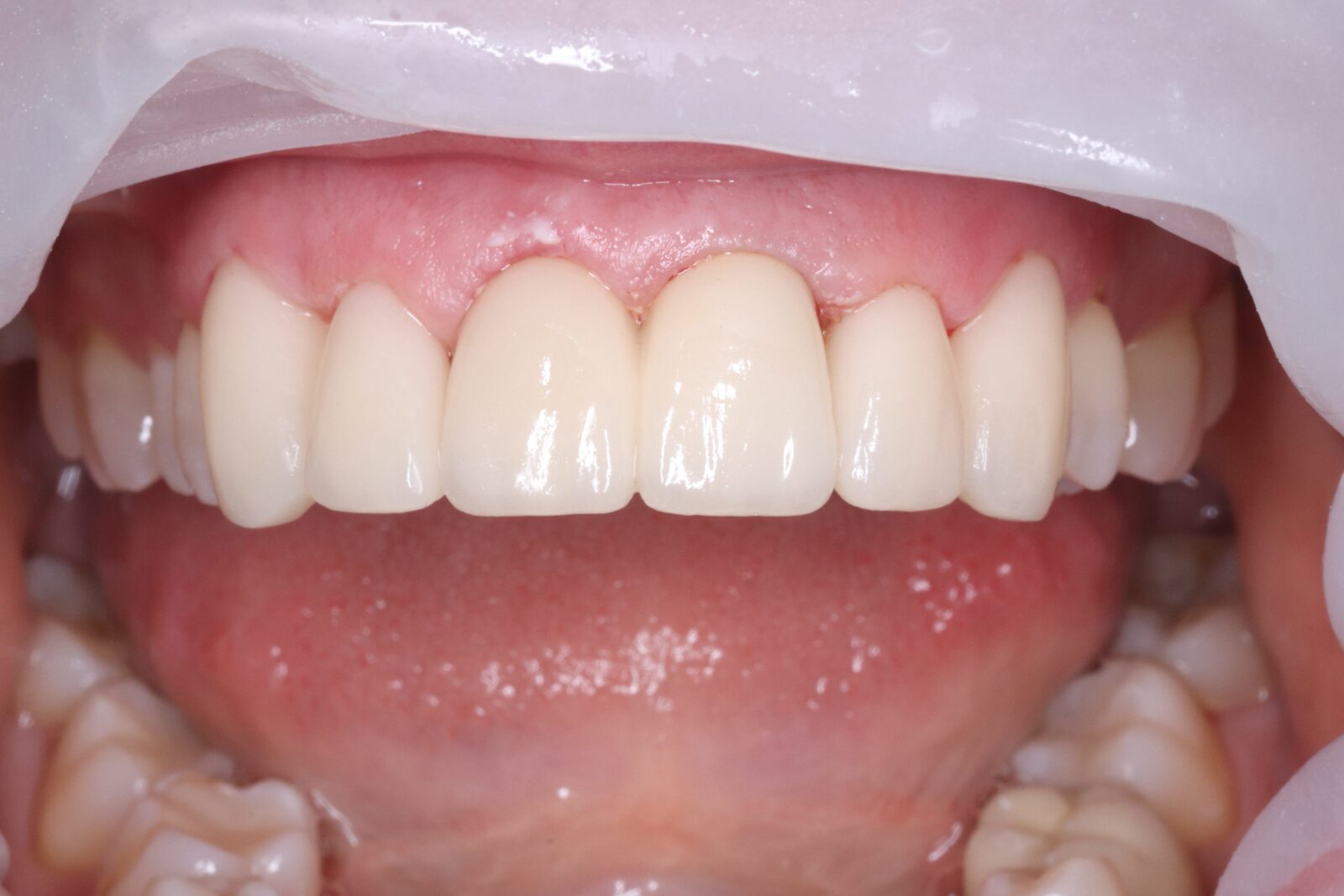
Вініри – це метод реставрації зубів за допомогою кераміки. Основне завдання вінірів – покращити посмішку, змінити форму та колір зубів. Технологія полягає в тому, що зуб або його частина обточується та накривається спеціальним ковпачком – вініром. Зазвичай вони накладаються на зовнішню видиму частину зуба.
Існують різні методики виготовлення вінірів. Він може бути вирізаний із цілісного шматка кераміки або виготовлений методом пошарового нанесення кераміки. Другий метод більш естетичний, тому що при його виготовленні використовуються матеріали різних відтінків та ступеня прозорості, що допомагає досягти максимальної натуральності та схожості зі справжнім зубом. Подивіться на свої зуби і ви побачите, що вони не монохромні: у ясен вони щільніші і темніші, у ріжучих країв – більш прозорі та світлі.
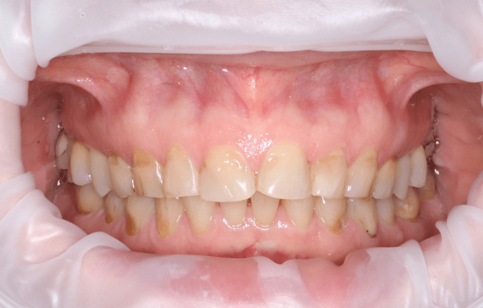
Звісно, естетика важлива. Наприклад, якщо до лікаря приходить молода дівчина з темними зубами та великою відстанню між ними, що робить посмішку непривабливою та заважає влаштувати їй своє життя, то нова посмішка може докорінно змінити її життя. Також показанням можуть бути старі, зношені, багаторазово реставровані живі (ті, у яких є нерв) зуби. Тобто, не найздоровіші зуби, які не шкода обточувати.
Є. Основне показання – після ортодонтичного лікування. Якщо спочатку у людини зубний ряд був неправильної форми, що призвело до нерівномірного стирання зубів, то після того, як ортодонт за допомогою брекетів поставить зуби на свої місця, нам потрібно відновити їхню колишню форму. Багато хто помилково вважає, що зняття брекетів – це кінець лікування. Але це не так. Щоб повноцінно відновити зубний ряд і зробити так, щоб зуби не повернулися назад у неправильну позицію, результат роботи ортодонту необхідно зафіксувати реставрацією зубів. Причому, як правило, реставрується весь зубний ряд – і передні, і бічні зуби. На бічні зуби робляться накладки теж із кераміки за технологією вінірів (їх можна робити на будь-яку поверхню зуба або на кілька).
Наприклад, якщо через неправильний прикус у людини стерся ріжучий край, його можна наростити за допомогою пломби. Але він весь час ламатиметься. Вінір же за рахунок своєї більшої площі вклеювання та міцності допомагає відновити зуб куди надійніше та естетичніше. Хоча справді є ситуації, коли пломби та вініри – взаємозамінні. Наприклад, бічні, жувальні зуби дійсно можна нарощувати або реставрувати за допомогою фотополімерної пломби, так і керамічної накладки.
Вініри – більш надійніші за реставрацію зубів за допомогою фотополімерних пломб. Тому що вінір – це одна монолітна деталь, яка наклеюється на кожен зуб окремо за допомогою тонкого шару спеціального клею – композитного цементу. Щоб було наочніше, пропоную порівняти вінір та пломбу з порцеляновим та пластиковим посудом. Порцеляновий посуд спочатку виглядає краще, і в процесі служби краще зберігається. Крім того, вінір виготовляється з кераміки, яка виглядає натуральніше, краще служить, має більшу міцність і, відповідно, менший об’єм (виходить, і зуб потрібно буде сточувати менше). Пломба – це, простими словами, різновид пластмаси, вона і не так гарно виглядає, і не така міцна, і в обсязі вона буде більшою. Хоча, звичайно, пломба має свої переваги. Наприклад, вона робиться прямо в роті, за один похід до лікаря, тобто це набагато швидший процес.
Вінір накладається не на весь зуб по колу, а лише на його зовнішню частину. Під коронку обточується весь зуб по периметру, по яснах, у процесі чого формується такий уступ або карнизик, і потім на цей зуб одягається об’ємна коронка. Вінір же, навіть у разі жувальних зубів, можна надіти тільки на частину зуба. Тобто немає необхідності пиляти весь зуб. Ще одна важлива відмінність: коронкою накриваються, як правило, зуби без нерва. Вінір бажано ставити на живий зуб, в якому є нерв.
По-перше, коронка – це такий елемент, що об’єднує, для зруйнованого зуба. Зазвичай якщо зуб пролікували, прочистивши всі канали, він помітно втратив у своїй міцності. Коронка допомагає зберегти елементи зуба, що залишилися, «у купі». Пломба в таких випадках теж не найкращий варіант, оскільки зуб з пролікованими каналами стає крихким, і в результаті може відколотися стінка зуба, при цьому пломба залишиться на місці. І це часто призводить до видалення зуба. По-друге, якщо в зубі вже немає нерва, він втрачає свій природний колір, тьмяніє. А вінір виготовляється із частково прозорої кераміки, яка не завжди може перекрити це потемніння.
Загалом – близько трьох тижнів. Але був у моїй практиці і такий випадок, коли одній пацієнтці ми зуби не спилювали, оскільки вона мала недорозвинені різці. По суті, це був готовий зуб під вінір, тому ми зробили установку набагато швидше. Загалом процедура має такий вигляд. У перший візит до лікаря пацієнта обстежують, роблять різноманітні знімки (включаючи 3D). На комп’ютері моделюється дизайн майбутньої посмішки: на фотографію пацієнта накладаються різні варіанти форми зубів і спільно з лікарем вибирається оптимальний. На підставі зліпка виготовляються тимчасові пластмасові накладки такої ж форми, як і майбутні вініри, і встановлюються на зуби. Я зазвичай на всі ці процедури виділяю десь півдня. Після цього можна або відразу обточити зуби (приблизно півгодини на один зуб), або бути схожим на дизайн нової посмішки якийсь час, пожити, порадитися з родичами і т.д. У будь-якому випадку, чи ми підготували зуби (спилили) чи ні, пацієнт ходить з тимчасовими накладками. Якщо пацієнт приймає рішення встановлювати вініри, протягом двох-трьох тижнів технік в лабораторії займається їх виготовленням. Процес тривалий, тому що він не лише кропіткий, а й творчий. Техніку потрібно підібрати максимально відповідні кольори, ступінь прозорості, підігнати форму – загалом, поспішати тут не можна. У другий візит пацієнта до лікаря знімаються тимчасові накладки та встановлюються вініри. Я б сказав, що це теж займає приблизно пів дня.
В принципі, на будь-які, якщо говорити про їхнє розташування в роті. Головне, як я вже казав, щоб зуб був живий. Вінір встановлюється індивідуально на кожен зуб окремо, тут немає «мостової» технології. Але, звичайно, чим більше зубів (особливо передніх) беруть участь у процесі, тим красивішим буде результат, тим простіше підібрати колір. Найскладніша робота – це один чи два зуби. Але і в цьому випадку можна зробити такий вінір, який візуально не відрізнятиметься від зубного ряду.
Він був би болючим, якби проходив без анестезії. Але при обточуванні та інших болючих моментах використовується місцева анестезія або наркоз.
Ні. Якщо емаль на зубі спиляли, вона вже не виросте. Ось чому приймати рішення про встановлення вінірів потрібно вкрай виважено та відповідально.
Самі собою вініри практично вічні, як і будь-яка хороша кераміка. Слабке місце це цемент, яким вони приклеюються до зуба, ось він з часом може старіти. Виробники цементів прогнозують 10-15 років, зараз вже є і до 20 років. Крім того, довговічність вінірів залежить від того, наскільки якісно лікар підготував зуб: там не повинно бути ніякого карієсу, під час фіксації має бути ідеальна ізоляція від вологи в порожнині рота, потрібно точно виконувати адгезивний протокол.
Будь-які постійні конструкції не прийнято ставити людям, які не закінчили процес формування кісток. Тобто дітям та підліткам вініри не ставлять. Зазвичай пацієнтам, які приходять по вініри, вже як мінімум 23-24 роки. Верхнього вікового порога для встановлення вінірів немає. Основне протипоказання – це бруксизм, тобто звичка людини скрегіт зубами, особливо уві сні. Причому це зазвичай не стільки стоматологічна, скільки психологічна проблема, і доки лікар із нею не розбереться, вініри встановлювати немає сенсу. Крім того, протипоказанням можна назвати відсутність медичних показань до встановлення вінірів. Тобто якщо до нас приходить людина зі здоровими зубами, але її просто не влаштовує, як виглядає її посмішка, ми спочатку намагаємося знайти інші варіанти вирішення проблеми, пояснюємо їй наслідки встановлення вінірів. Можливо, йому просто вибілювання допоможе. Хоча, звісно, якщо пацієнт наполягає, це його право встановлювати вініри. Це схоже на пластичну хірургію: основне показання процедури – це побажання пацієнта.
Багато людей вважають, що керамічні накладки – це індульгенція від чищення зубів. Це не так. Дійсно, до гладкої кераміки наліт чіпляється не так інтенсивно, як до поверхні натуральних зубів. Але все одно чіпляється, а з огляду на те, що кераміка покриває не всю поверхню зубів, нальоту в роті все одно буде збиратися достатньо. Тому правила догляду за вінірами ті самі, що й для натуральних зубів. Вініри бояться механічних пошкоджень, тому їх потрібно берегти від ударів та різких перепадів температури, як і натуральні зуби, не розгризати їм шкаралупу горіхів та не відкривати банки та пляшки. Можна пити будь-які напої на ваш смак, включаючи чай і каву, і навіть курити. Необхідно чистити зуби з вінірами двічі на день та періодично проводити профогляд у лікаря. Загалом, поводьтеся з вінірами так само, як із рідними зубами: бережіть їх і доглядайте їх.
Наш лікар-анестезіолог Віталій Ігорович Павленко, який з першого дня війни…
Вітаємо з Міжнародним днем Стоматолога лікарів та асистентів, зубних техніків…
Вся команда нашої дитячої клініки пройшла тренінг «Надання невідкладної допомоги…
Наші дитячі лікарі пройшли навчальний курс «Моделювання бічної групи зубів”,…
Знайомтесь – Аліна Сергіївна Ювшин, наш дитячий стоматолог у клініці на…
Вітаємо з Різдвом та Новим роком наших друзів, пацієнтів, співробітників…
Стоматолог-ортопед
Стоматолог-ортопед
Стоматолог-ортопед
Стоматолог-ортопед
Стоматолог-ортопед
Стоматолог-ортопед
Стоматолог-ортопед
Найкраща стоматологічна клініка. А я їх обійшов багато. Бо маю дуже складну ситуацію. Тож можу сміливо радити всім.
Дуже вдячна лікарю Богдану Станіславовичу за уважність до потреб пацієнта та високий професіоналізм. Я рада, що знайшла тут свого лікаря, і завжди знаю, що тут допоможуть навіть у складних або…
Чудова Клініка, неймовірний персонал, лікарі від Бога, справжні майстри своєї справи! Лікував та відновлював зуб, а також зробив чистку зубів. Ви навіть не уявляєте на скільки я став щасливіший та…
15 лет являюсь клиентом, уже с семьёй. Приходят на помощь. Подкупают профессионализмом. Втираются в доверие. Назначают только то лечение, которое действительно необходимо. Ужасные люди!!!
I had an excellent experience at this dentist’s office. The level of professionalism, cleanliness, and patient care was very impressive. What stood out the most was the dentist’s honesty. I…
Якщо Ви, як і я, боїтеся всіх зубних лікарів, то після цього лікаря Ви перестанете тремтіти! Вячеслав Дмитрович Вєдєнєєв – професіонал, з почуттям гумору, впевнена та тверда рука! Одне слово…
Щиро дякую лікарю Тюріну Івану Сергійовичу за свої здорові зубки і впевнену посмішку! Лікуюсь у нього вже кілька років – колосальна кількість роботи була зроблена, результатом надзвичайно задоволена! Лікар великий…
I can’t express how much I miss this clinic and service while living in the US during the past 3+ years. When I have a chance, I’ll definitely fly in…