Valentin Pupena
Найкраща стоматологічна клініка. А я їх обійшов багато. Бо маю дуже складну ситуацію. Тож можу сміливо радити всім.
Кожен з нас знає, що таке зубний біль. За його появи правильно звернутися до лікаря-стоматолога та полікувати зуб. Але трапляється й так, що біль є, а стоматолог дефектів і порушень (проблем) у зубах не знаходить. Або ж встановлено зубний протез, а жувати некомфортно, іноді навіть боляче. Ось у цьому разі пацієнту допоможе лікар-гнатолог. Обов’язково відвідайте цього фахівця, якщо ви давно й марно шукаєте причину головного болю, адже майже 90% таких випадків – це якраз болі, спричинені надмірним напруженням жувальних м’язів. Ви навіть не здогадуєтеся, що шийний остеохондроз може бути пов’язаний не з порушеннями постави, дієти чи способу життя, а саме зі змінами зубощелепної системи. У цьому разі вам також допоможе ортопед-гнатолог. Більшість же пацієнтів цього лікаря – люди, які на даний момент протезують зуби, а також ті, хто виправляють неправильний прикус. Щоб лікування було максимально ефективним, лікар-гнатолог застосовує індивідуальні капи, що допомагають іншим лікарям надати нижній щелепі ПРАВИЛЬНОГО положення.
З курсу шкільної анатомії ми знаємо, що зубощелепна система людини крім щелеп і власне зубів має безліч елементів. Це м’язи, зв’язки, нерви, кістки, суглоби. Взаємодію всіх цих частин зубощелепного апарату й вивчає наука гнатологія. Причому вивчає взаємодію елементів системи в нормі та за різних порушень. Лише на перший погляд жування – це просто. Насправді ж, щоб цей процес відбувався правильно, потрібна безліч складових. Рухи нижньої щелепи корегують найсильніші м’язи тіла – жувальні. Вони відповідають за рух щелепи при жуванні, диханні, говорінні та навіть під час сну. Жувальна поверхня кожного нашого зуба містить більше двох десятків функціональних елементів, будь-які зміни яких спричиняють порушення процесу жування. Гнатологія допомагає правильно протезувати зуби, а також лікувати функціональні оклюзії скронево-нижньощелепного суглоба. Якщо у двох словах, то знання допомагають лікареві-гнатологу знайти фізіологічне положення нижньої щелепи пацієнта, щоб процеси дихання, жування, ковтання й говоріння відбувалися правильно.
Фото 1. Зліпок положення нижньої щелепи пацієнта, який протягом двох років страждає на головні болі через неправильне протезування
Фото 2-3. Оцінка дихальних шляхів на етапі діагностики
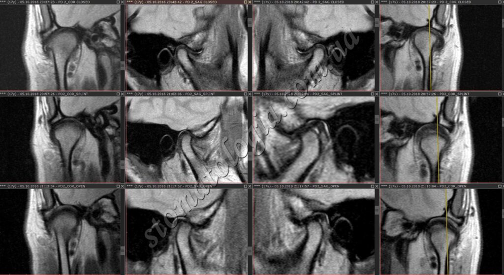
Основне завдання гнатології – з’ясувати, чому змістилася щелепа, визначити її правильне розташування та повернути орган в положення до зміщення. Це прибере скрип і стирання зубів, клацання й біль у суглобі, підклинювання при жуванні чи позіханні. Отже, усі функції зубощелепної системи будуть відновлені. Гнатологія аналізує порушення постави, зіставляє дані ортодонтичної ситуації та функціональність зубощелепної системи. Для грамотного встановлення діагнозу лікар-гнатолог може вдатися до рентген-діагностики або МРТ СНЩС.
Фото 4-5. Завдяки знімкам можна оцінити положення суглобового диска та правильно виставити нижню щелепу. МРТ-дослідження проводиться на етапі діагностики
Це дозволяє точніше оцінити стан диска у випадках, коли «клацає» щелепа, якщо у вас є відчуття «скутості» під час їжі, говоріння або якщо ви помічали, що щелепу «заклинювало».
Кожен стоматолог застосовує знання про гнатологію в процесі своєї роботи, наприклад ставить зубну пломбу так, щоб не порушити функціонування суглоба. Стоматолог-гнатолог подивиться на проблему ширше. Саме цей фахівець здатний точно реконструювати ротову порожнину людини відповідно до її анатомічних особливостей. Консультація такого фахівця необхідна, якщо пацієнт скаржиться на хрускіт у суглобі при жуванні, больові відчуття в жувальних м’язах, обмеженість руху нижньої щелепи, ниючий біль у ділянці скронево-нижньощелепного суглоба. Гнатолог лікує вивихи й підвивихи цього суглоба, а також його запальні захворювання – артрити й артрози. Головний біль, запаморочення, зниження гостроти зору – проблеми, здавалося б, жодним чином не пов’язані із зубощелепною системою, – також може вилікувати ортодонт-гнатолог. Приводом записатися на прийом до цього фахівця може стати дзвін у вухах і погіршення слуху, біль у зубах, плечах чи шиї. Усі згадані симптоми вказують на дисфункцію зубощелепної системи пацієнта. Гнатологічні знання можуть навіть допомогти прибрати зморшки в куточках рота, які так засмучують жінок. Для цього буває достатньо лише виставити щелепу в правильне положення. Часті пацієнти гнатолога – люди з бруксизмом (скрегочуть зубами). Хоча сама проблема багатьом здається простою, з часом це захворювання збільшує навантаження на пломби та призводить до стирання зубів. У таких людей часто діагностують неврологічні проблеми: головний біль, біль у м’язах, порушення сну. Консультація гнатолога часто потрібна при ортопедичному й ортодонтичному лікуванні. Ортопедична стоматологія тісно пов’язана з гнатологією. Адже для формування правильного прикусу важливо вкрай делікатно встановлювати апарати для корекції, звертаючи увагу на стан скронево-нижньощелепного суглоба та жувальних м’язів. Злагодженість роботі щелепних м’язів залежить від безлічі чинників. Тільки якщо розрахувати поверхню прикусу між зубами правильно, можна досягти ідеальної корекції неправильного прикусу. Тому, якщо в процесі роботи лікар-ортодонт стикається з уже наявними порушеннями у функціонуванні щелепно-лицьового апарату, наприклад із хрускотом у суглобі, дискомфортом, напругою, а то й болем, щоб уникнути помилок при встановленні корекційних апаратів, він повинен направити пацієнта до гнатолога. Тільки в цьому разі лікування буде успішним. Стоматолог дасть направлення до гнатолога, якщо людина погано (нечітко) кусає – припустімо, у неї сильно стерті зуби, або ж, щоб вкусити, їй потрібно докладати зусиль, шукати зручне положення. Іноді пацієнт не може повноцінно кусати після протезування зубів. Це означає, що стоматолог не зміг самостійно визначити причину неправильного прикусу. Буває, що до гнатолога направляють людей зі зламаними протезами, щоб максимально точно виставити їх у правильне положення. Саме цей фахівець повинен навчити пацієнта кусати правильно. Але перед цим усі зубні канали мають бути проліковані, пломби поставлені, не має бути набряків м’яких тканин. Гнатолог допоможе стоматологу-ортопеду стабілізувати стан пацієнта, отримати правильне положення зубів і здійснити протезування без ускладнень.
На першому прийомі цей фахівець огляне не лише зуби, щелепу та суглоб. Хороший гнатолог також дослідить на дотик усі елементи м’язово-зв’язкового апарату вище ключиці та навіть м’язи спини. Адже проблеми з роботою всіх складових зубощелепної системи можуть бути наслідком сидячого способу життя, гіподинамії. Наприклад, від частого сидіння за комп’ютером у неправильній позі страждають м’язи та зв’язки лівої лопатки. Перед початком лікування гнатолог може попросити вас зробити дослідження, необхідні для точного діагнозу. Скоріше за все, це буде комп’ютерна томографія скронево-нижньощелепного суглоба в різних положеннях щелепи. Також лікар може призначити аксіографію – визначення траєкторії руху головки суглоба по поверхні кісток черепа, а також міографію – дослідження жувальних м’язів. Усі ці дослідження потрібні гнатологу, щоб визначити якість змикання зубів у двох положеннях: спочатку в русі, а потім без навантаження, у стані спокою – і, відповідно, поставити правильний діагноз. Якщо в процесі обстеження з’ясується, що проблема все ж у дисфункції жувальної системи, лікар розпише детальну схему лікування. Можливо, знадобиться консультація суміжних спеціалістів: лора, невролога чи хірурга. Залежно від ситуації лікування у гнатолога може тривати кілька годин чи кілька тижнів. Якщо ситуація задавнена, то, можливо, доведеться сходити на прийом до шести разів. Адже лікарю потрібно зібрати, обробити та проаналізувати великий обсяг інформації і тільки потім визначити напрям лікування. Але найчастіше потрібна лише пара консультацій гнатолога: на першій лікар аналізує ситуацію та призначає додаткові обстеження, на другій дає рекомендації. В арсеналі гнатолога є капи та трейнери. Також ці фахівці широко застосовують у своїй практиці спеціальну міогімнастику, що сприяє розслабленню жувальних м’язів. Комплекс вправ підбирається індивідуально для кожного пацієнта. Вийшовши з консультації гнатолога, ви уважно ставитиметься до того, що та як ви кусаєте. Відгуки пацієнтів свідчать про те, що ця спеціальність користується попитом. На жаль, досвідчений гнатолог є далеко не в кожній стоматологічній чи ортодонтичній клініці Києва. Водночас навіть у столиці багато хто не знає, де здійснює прийом київський гнатолог. Якщо «погуглити», то, звичайно, на просторах Інтернету цю інформацію знайти можна. Клініки, що поважають себе, обов’язково мають у штаті такого фахівця.
Найкраща стоматологічна клініка. А я їх обійшов багато. Бо маю дуже складну ситуацію. Тож можу сміливо радити всім.
Зверталась до хірурга Труша Сергія Анатолійовича з питанням продовження установки зубного імпланта (розпочала процес в іншій клініці, однак вирішила продовжити вже в клініці ‘Стоматолог і Я’). Щиро дякую лікарю і…
Хочу висловити вдячність Дубнову Артему Васильовичу та його команді за проведення мені операції на щелепах та реабілітацію! Артем Васильович дійсно горить бажанням допомагати людям, і тому я зі спокійною душею…
Звернувся до цієї клініки за рекомендацією свого стоматолога, щоби видалити зуб, який вже не можливо було відновити. Величезна вдячність лікарю-хірургу Сергію Трушу за швидку, акуратну й безболісну процедуру! Також дуже…
Доктор Труш Сергій – високий професіонал, доктор з великої літери. Низький уклін Лесі Юріївні за виховання молодих кадрів та дух чутності й людяності, притаманний усьому колективу клініки
Чудеса в мире есть и волшебники в нем встречаются! Всем добра! Благодаря Артему Васильевичу и прекрасному чуткому персоналу я верю в сказку! Спасибо
Труш Сергій Анатолійович – чудовий спеціаліст, який з великою чуйністю, повагою та розуміння ставиться до пацієнта! Як колега викликає велику повагу! Знімаєте шви як Бог!
Велике дякую Руслану Віталійовичу та його чарівній помічниці! Прийшлось терміново видаляти 3 зуби, але лікар зробив все безболісно, швидко і напрочуд впевнено. І ця впевненість передалась і мені. А те,…